Healthcare
Powering accurate, ethical AI in healthcare to help drive better patient outcomes at scale.
Trusted by Industry Leaders


















What We Offer
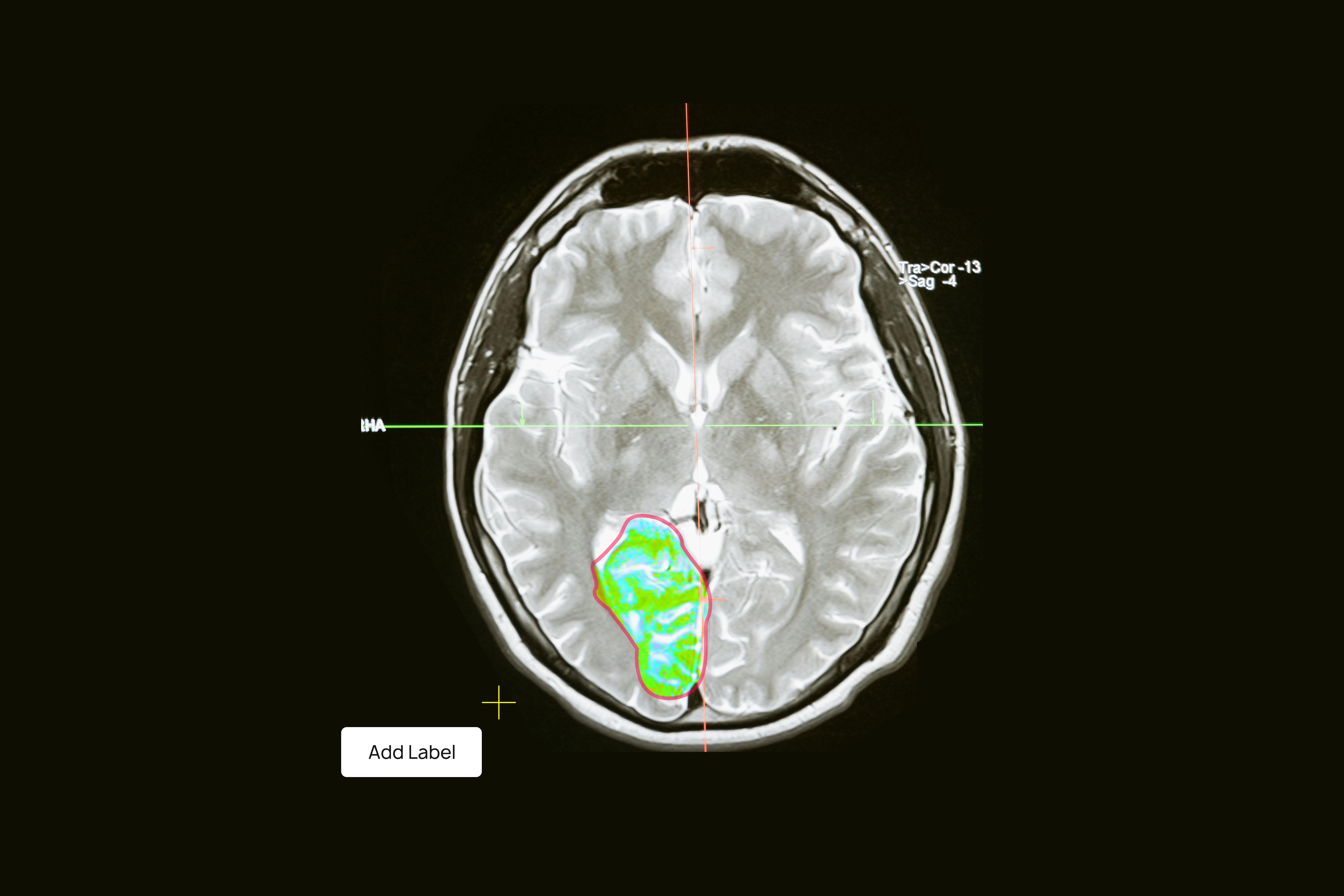
Data Annotation
Label clinical text, radiology images, test results, and more with domain-trained experts for AI-ready precision.
Learn More


Delivering Safe, AI-Powered HIV Testing With 98% Accuracy
“IndiVillage Tech Solutions has been a great partner in our mission to advance health equity through AI-enabled solutions. By providing accurately labeled images of the most widely used diagnostic tool globally, rapid diagnostic tests (RDTs), IndiVillage has provided an invaluable input into our computer vision algorithms, allowing us to build highly accurate AI that assesses the quality of administration and interpretation of RDTs. Their meticulous image annotation and interpretation services are instrumental in the ongoing development and monitoring of our AI solutions.”


5 Second AI-Driven Skin Cancer Detection Across 9 Languages
“Our partnership with IndiVillage has been instrumental in providing services that help us innovate and adapt in real time. IndiVillage's precise image tagging support enables us to optimize workflows and deliver tangible value to growers worldwide.”
Bring Precision to Your Agri Ops
Annotate smarter, map better, and scale your agri-tech vision from field to cloud.
Book A Call